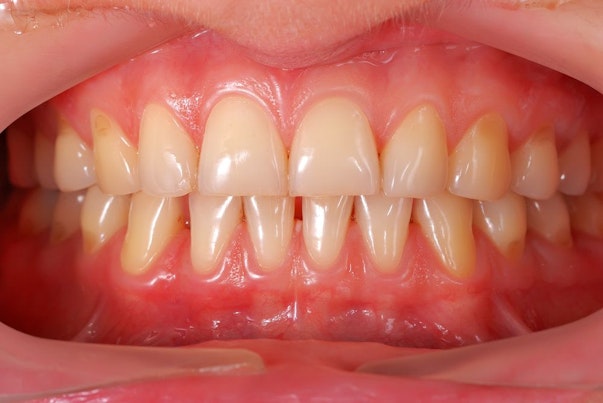
Achieve a Symmetrical Gum Line through Laser Gum Reshaping
Through laser gum reshaping, Dr. Byron J. Nordhus can improve the appearance of excessive or uneven gum tissue. Patients who have disproportionate teeth, a "gummy" smile, or teeth that appear short, can benefit from this cosmetic dentistry procedure. Laser gum reshaping performed at Nordhus Dentistry in Wichita, KS, is simple and effective, and can create a more symmetrical, healthy-looking, and attractive smile - one that you will be excited to show off.
About Laser Gum Reshaping
Teeth and gums should, optimally, possess a symmetrical quality, and appear smooth. However, sometimes the gum line can look uneven or crooked, showing too much or too little of your teeth. Laser gum reshaping is a quick, low-risk procedure, that can be completed in just one visit to our office.
Traditionally, your gum line could only be reshaped using a scalpel and suture method. Advanced technology now allows us to reshape your gum line with a laser, comfortably and precisely. Using a laser instead of the traditional scalpel method involves less bleeding, no need for stitches, reduced risk for infection, and a quicker recovery. A soft tissue laser applies an extremely focused beam of light to remove unwanted tissue. Heat from the light seals, or cauterizes, the gum tissue as it works.
Perhaps the most exciting part of laser gum contouring is seeing the final results. The team at Nordhus Dentistry wants to walk you through every step of the process, from your initial consultation to your brand new smile.
If it is decided that you are a good candidate for laser gum reshaping, the first step on the day of your appointment will involve numbing your gums to ensure optimal comfort. Dr. Nordhus will mark your gum tissue where he intends to trim it. He will use the laser to sculpt your new gum line, resulting in more uniform teeth and gums. Stitches will not be required, and in most cases, you can return to work the same day.
What to Expect after the Procedure
Typically, patients can expect only minimal discomfort and some swelling following laser gum reshaping. Pain can be minimized with over-the-counter pain reliever, as recommended by Dr. Nordhus. We will provide you with post-operative instructions, which should be followed closely, to ensure a safe and successful recovery.

It is recommended that you eat only soft foods for the first few days following surgery. You should also avoid spicy foods, as well as foods with hulls or seeds. When brushing and flossing your teeth, you should be extra gentle for the first week. Since your gums will retain their margins after laser gum surgery, no re-treatment should be necessary.
Transform Your Smile Today
Perhaps the most exciting part of laser gum contouring is seeing the final results. The team at Nordhus Dentistry wants to walk you through every step of the process, from your initial consultation to your brand new smile. To learn more about laser gum contouring, schedule your appointment today.

