Dental Implants
A lost tooth or teeth can impact every aspect of your daily life, from making it difficult to speak clearly to causing pain while eating.
Our dentist, Dr. Byron J. Nordhus, places and restores dental implants and can replace any number of missing teeth.
Learn how the compassionate team at Nordhus Dentistry can repair your smile with dental implants in Wichita, KS.
What Are Dental Implants?
Dental implants are titanium posts that act as artificial tooth roots and support restorations such as dentures, dental crowns, and dental bridges to replace missing teeth.
What Are the Benefits of Dental Implants?
You may be wondering why you should consider dental implants when traditional dental restorations like bridges and dentures are far more affordable. While it is true that traditional dental restorations offer lower upfront costs, implants are the best option available to restore your smile after losing teeth. The long-term benefits of implants from our Wichita dental office include:
Unmatched Results
A traditional dental restoration, such as a bridge or denture, may fill the visible gap in your smile, but unlike natural teeth it lacks any structure below the gum line. Dental implants are made up of three distinct components: post, abutment, and restoration. The interconnected parts replace the entire tooth structure from root to crown, providing incredible stability and natural-feeling results.
A Long-Term Solution
While the restoration placed on top of an implant will eventually need replacement, a dental implant can last a lifetime. It fuses with your jawbone just like the roots of a tooth to not only support your health and oral function, but to provide many years of reliable service.
Improved Oral and Overall Health
When you lose a tooth, the bone tissue in your jaw begins to deteriorate. Dental implants are the only treatment that effectively stops this jawbone atrophy, which in turn supports your overall well-being.
Error: No $video_url from $page_url
URL or code copied from YouTube, Vimeo and other video sites should be entered in the Video field
Experience the Difference With Our Compassionate Team
They were patient with me and very informative letting me run the show on what to do and how. I felt like they truly cared about me and my mental state as well as my dental health.
View on Google
New patient at Nordus and they are awesome, kind professional, friendly, and did a great job on my crown!
View on GoogleMissing Teeth Are More Common Than You May Know
About 120 million Americans have at least one missing tooth.
— According to The American College of Prosthodontists
To put that into perspective, the United States has a population of about 333 million people. Therefore, about 36% of the country has dealt with the same concern that you have now. Fortunately, our Wichita team can help you with implant dentistry.

Find a Long-Term Smile Solution At Nordhus Dentistry
If you're missing a tooth, you may also be missing out on a few key parts of daily life, like enjoying your favorite foods or smiling freely. Though tooth loss is an extremely common condition, many patients still worry about seeking treatment.
Our caring team will show you that you have nothing to fear. From our understanding demeanor to our sedation dentistry offerings, we strive to put you at ease for every step of your journey towards restoring your smile with dental implants.
Whether you have questions about the modern technology we use for implant dentistry, the benefits dental implants offer for your jawbone health, your implant restoration options, or anything else, we're here to help. Contact us online at any time or call:

"Dr. Nordhus is someone
who knows what he is doing."
Read Our 5-Star Patient Reviews
Dr. Nordhus is someone who knows what he is doing. A new filling today took 6 minutes. Of course I've only known him for 40 years. Julie took a little longer but a 40 point ck up plus wash and wax takes a bit of time. Here is an office with knowledgeable people, and people who care. Mark
View on Google
Shooooo... I LOATHE the dentist. I have made it my mission to have such amazing oral upkeep that I need nothing more than cleanings. Unfortunately, I had a filling that worked is way loose over the last 25 years. So Dr Nordhus had to replace that for me. While I won't say I enjoyed it, I will say it was the best experience I've ever had at a dentist. They run a finely tuned machine there. On time, efficient, quick, painless. I was in and out in less than 45 minutes, and that included aftercare instructions. Love this crew!
View on GoogleCan I Afford Dental Implants? We Work With Patients and Accept Flexible Financing
Implants are not usually covered by insurance, but your crown, bridge, or denture may be. We will file all the necessary paperwork with your provider so that you can take full advantage of your benefits. For patients without insurance or who are not in-network, we offer our in-office Membership Club, which many of our patients consider to be better than insurance. We also accept third-party financing through CareCredit®, which allows patients who qualify to take advantage of flexible payment plans for up to 60 months.

Get Your Personal Cost Estimate During a Consultation With Dr. Nordhus
Many patients want to know the cost of dental implants, but because every case is unique, Dr. Nordhus needs to evaluate your specific needs and develop a treatment plan before the cost can be determined. To find out what your dental implant treatment will cost, request a consultation with Dr. Nordhus today. You can reach our Wichita practice online or by calling:
(316) 721-6730
Error: No $video_url from $page_url
URL or code copied from YouTube, Vimeo and other video sites should be entered in the Video field
Get Started on Your New Smile Request an Appointment Today
To learn more about how our compassionate dental professionals serving the needs of Wichita and West Wichita, KS, can help you achieve the smile of your dreams, please fill out the form below:
More Excellent Reviews “Will 100% recommend.”
Will 100% recommend. The staff is very kind and attentive of your needs. I spent years suffering from unknown pain and these people found the cause in a single consult. Words cannot just express my appreciation and gratitude.
View on Google
I am getting the latest and greatest dental work done on my teeth. Dr Nordhus and all of his employees provide an amazing dental experience.
View on GoogleDental Implant Timeline
Since dental implants require an individualized treatment plan, the timeline may differ for each patient. General steps include:
We create 3D digital X-rays using our i-CAT machine for incredibly precise implant placement.
Successful Treatment Starts With Precision The iTero Scanner Advantage

Our practice is equipped with a variety of high-tech tools, including the latest iTero® intraoral scanner. This scanner allows us to capture detailed 3D images of your mouth, which are used to plan your treatment and design your custom restoration. iTero not only improves the accuracy of treatment but also your comfort.
By taking comprehensive digital scans in minutes, our patients in the Wichita and West Wichita, KS, area can avoid the mess and discomfort of palate impressions and stay relaxed in the dentist's chair.
Hear From Our Patient
“Excellent customer service, knowledgeable about insurance, dental care & individual needs of patients. This is the place to come for your dental services. I am anxious and nervous before I even walk through the dentist's office door and this staff was empathic and able to reassure me about procedures and costs. I want to especially thank Natalie for taking the time to assist me.” Edie Burklund, 2024 5-Star Review
Will My New Restoration Stand Out from My Natural Teeth?
/
Not at all! Because we use a modern digital scanner to gather custom measurements for your restoration, it will be designed to blend in easily with the rest of your smile. Your restoration will be crafted at a trusted lab by trained technicians who create stunning and natural-looking results.
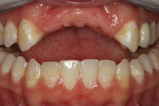
Take a Closer Look At the Lifelike Results Implants Offer
Frequently Asked Questions About Dental Implants in Wichita
Does dental implant placement hurt?
No. Your dentist will begin by thoroughly numbing the treatment area. Our Kansas dental office also offers sedation options for those who want a higher level of comfort care. Some discomfort is to be expected as you heal, but it should ease within a few days to a week. If you experience pain that does not ease with measures at home, please contact our office so we can address your issues promptly.
How long does it take to heal from dental implant surgery?
Everyone heals at different rates. However, most people begin to feel better within about a week. It takes about three to six months for the implants to completely fuse to the jawbone in a process called osseointegration.
How long will my dental implants last?
Dental implants are made of durable titanium, and are designed to last a lifetime with the right care. However, it is important to remember that your dental crown, dental bridge, or denture will wear over time with use. With proper care and maintenance, your restoration can last for up to 15 years or more.
How do I care for my dental implants and restoration?
Caring for your newly restored smile is easy! Brush and floss your teeth as you would natural teeth. Use a soft-bristled brush and a nonabrasive toothpaste; a floss threader or water pick can help clean around your implants. Don't forget to visit our Wichita dental office for regular exams and cleanings to keep your smile beautiful and healthy for years to come.
Have more questions about dental implants, or are you ready to start your smile restoration journey?
“The care I received at Nordhus Dentistry
was phenomenal!”
Wichita, KS, Patients Are Thankful for Nordhus Dentistry
It had been 20+ years since I've been to a dentist, partly because of anxiety but mostly procrastination. I reviewed multiple Dentists per the Web, and chose Dr. Nordhus Dentistry for multiple reasons. Smaller practice, online reviews, state-of-the-art equipment and imaging, and a membership plan for those like me with no insurance. The staff is very friendly and professional, and the office is quite and comforting. After a few minutes filling out the new patient form, Natalie the hygienist took me to a room asked questions, explained options, and then proceeded with initial cleaning. Dr. Nordhus and Natalie explained next steps, and associated cost. I highly recommend Dr. Nordhus Dentistry, and looking forward to my next visits.
View on Google
The care I received at Nordhus Dentistry was phenomenal! This was my initial visit and so the hygienist Natalie and Dr Nordhus took their time explaining my overall dental health, listened to my concerns, and provided clearly options for followup treatments. They were very thorough, professional, and caring. The facility had state-of-the-art imaging and was very inviting. I would definitely recommend Nordhus Dentistry!
View on Google





