
Dental Crowns
Why Wichita Chooses Us for Dental Crowns
Experience
Dr. Nordhus has provided comprehensive, top-level dental care to the Wichita and West Wichita communities for nearly two decades. He performs many dental services himself, including implant surgery, so you do not need to see specialists.Family Friendly
We treat patients of all ages at our Wichita, KS, office because we want your entire family's teeth to be healthy and look great.Sedation Dentistry
If a simple procedure like dental crown placement fills you with anxiety, Dr. Nordhus offers calming sedation options for your comfort.Modern Technology
Dr. Nordhus uses the most advanced dental tools, including 3-D digital scanners for precise crown design and the Solea® CO2 Laser for virtually pain-free treatment.
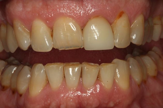
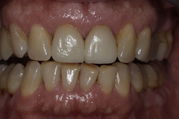
Restore and Protect a Compromised Tooth
Contact Dr. Nordhus to Restore Your Smile
A high-quality dental crown placed by Kansas native Byron Nordhus, DDS, can restore your compromised smile in as little as two appointments. Dr. Nordhus serves patients from Wichita, West Wichita, and surrounding areas, and only uses the most advanced techniques in order to make your new crown blend seamlessly with your natural teeth.
Do you need a root canal, suffer from decay, or are unhappy with an imperfect tooth? If you are ready to transform your smile or restore its health, contact our patient-centered practice for a consultation. Our warm, personable staff will welcome you like family. Use our online form or call us today.
(316) 721-6730

5-Star Reviews from Smiling Patients "Dr. Nordhus is a great family man and a expert dentist."
I have visited Nordhus Dentistry for over 13 years. The staff are all so welcoming and warm. Dr. Nordhus is a great family man and a expert dentist. I always enjoy visiting the dentist!
View on GoogleVery friendly and informative. Explained procedures clearly and thoroughly. Recommend for others like myself without dental insurance.
View on GoogleWhy High-End Crowns are Worth the Investment
Top-Grade Materials
Our dentist is dedicated to providing the best possible care for his patients and their teeth. Zirconia and porcelain are both well known for their strength and lifelike qualities.
Beautiful Aesthetics
These types of materials can be matched to virtually any dental shade, making them nearly impossible to distinguish from natural teeth.
Metal-Free
Porcelain and zirconia crowns are great for patients with metal allergies or those who simply don't want to place metal in their bodies. They also look more natural than gold crowns or restorations with metallic interiors.
Superior Craftsmanship
Dr. Nordhus only uses reputable dental labs that use quality materials and cutting-edge techniques to craft his dental crowns. You can rest assured you will be receiving the most carefully fabricated restoration possible.
I Don't Have Dental Insurance Can I Still Afford a Crown?
Membership Plans
We have three money-saving membership plans that include yearly exams and attractive discounts for procedures like dental crowns.
CareCredit®
This trusted, third-party financing company offers flexible and affordable monthly payment plans.
Credit Cards
Credit cards are accepted, but many patients say our in-house plans are less expensive than insurance or credit card payments.
Patients Love Our Membership Plans "The membership works out to be a great deal..."
Love this place! The membership works out to be a great deal and you always know you have the funds to come back in 6 months for cleanings! Michelle is wonderful! Cant wait to get the kids in next month!
View on GoogleThe care of the staff is represented well there. With up to date technology that showed me exactly what was happening with my teeth, they helped to put a smile on my face!
View on GoogleWhat to Expect during Dental Crown Procedures
We can restore your compromised smile in as little as two appointments.
If you require an implant-supported crown for a missing or extracted tooth, Dr. Nordhus will first surgically place a dental implant into your jawbone. Sedation options are available for your comfort. After a healing period of four to six months, he will attach an abutment to the implant. Your new permanent crown will then be secured to the abutment.





