
Teeth Whitening
Achieve a More Vibrant Smile Through Teeth Whitening
Whether you have an upcoming wedding or reunion, or would like to brighten your smile over the course of a few weeks, Nordhus Dentistry in Wichita, KS, can deliver amazing whitening results. Our dentistry practice offers both in-office and at-home options so you can comfortably achieve the vibrant smile you want.
In-Office Teeth Whitening
Our goal is to be a patient-centered practice and take care of our patients.
At-Home Teeth Whitening
If you would like to whiten your teeth in the comfort of your own home, we offer at-home whitening kits. Professional kits that are more effective than the kits and whitening toothpastes you can buy in stores.
A popular option for at-home whitening is customized bleaching trays. If you choose to receive at-home whitening trays, you can expect these steps:
Giving West Wichita a Reason to Smile
Currently without dental insurance due to a lay-off, and had a broken tooth in need of attention. They were very forthcoming with prices for dental work over the phone. Also offer a membership plan to help reduce cost, which is great! Once I arrived to the office they were extremely pleasant, I was taken straight back to a room without wait time ( a nice surprise) Both the dentist and his assistant were very detailed, professional, and comforting. They were time efficient and thorough. The dentist, himself, even called me the next day to check on me and my work wasn't even very extensive. Would highly recommend and look forward to regaining a beautiful smile under their care.
View on GoogleI went to Dr. Nordhus in 2005 & had a tooth rebuilt . He did an excellent job. Time passed and I needed more dental work done, but couldn't remember his name so at that time I went to a different dentist. After that, I really researched and found Dr Nordhus again. So thankful to have him and his staff for my dental needs. So kind , caring, and up to date on new techniques. They take time to explain any questions you may have.. I never feel like they are rushing to get to their next patient. Their office is welcoming. I'll admit I'm uncomfortable going to dentists, but I'm comfortable going to Dr Nordhus. Would highly recommend him and his staff.
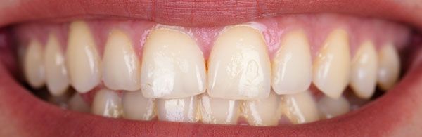
View on GoogleWhat Causes Dental Stains?
Extrinsic Stains
Extrinsic stains are the spots of brown or yellow discoloration that appear on the enamel surface of your teeth. These external stains are often caused by cigarettes, chewing tobacco, tea, coffee, red wine, and other dark-colored foods and beverages.
If you have these stains, you may be a good candidate for teeth whitening.
Intrinsic Stains
Intrinsic stains are caused by certain medications, oral trauma, and overexposure to fluoride.
These stains won't respond to whitening methods since they originate inside a tooth. We can still improve the appearance of these stained teeth using porcelain veneers, dental bonding, or crowns.



