Invisalign: Case 3
Description
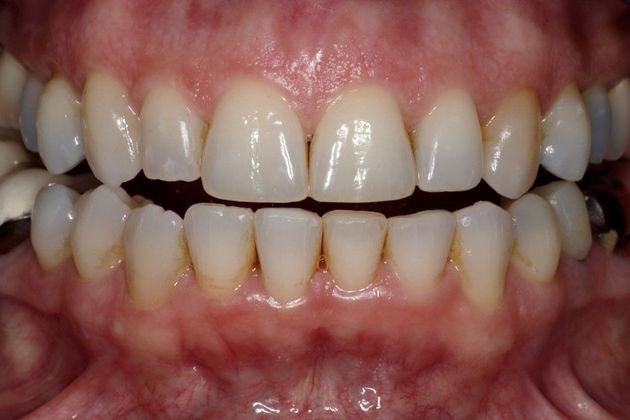
There is no specific age requirement for Invisalign. Many of the people who seek the cosmetic and oral health benefits of Invisalign are adults who are well into their 40s, 50s, and older. This person did not let her age deter her from going through Invisalign treatment. She completed the process with In-Office Zoom Whitening and reshaping the edges of the teeth to give her a more youthful smile.


