No Insurance? No Problem!
We don't want our patients or our practice to be governed by insurance companies, so our Wichita, KS, office has created a membership program through which patients can receive the care they need for a low monthly fee. When you choose Nordhus Dentistry, you have access to high-quality care that is not limited by insurance companies.
Welcome to Nordhus Dentistry
Serving West Wichita and Beyond

Where to Find Nordhus Dentistry
Our office is located just off West Central Avenue. Patients are free to use the parking lot just outside our Wichita, KS, office.
Take a Tour of Our Office So You Know What to Expect
Receive Dental Care for Your Whole Family Request a Consultation in Wichita, KS, Today
Unlike many dentists who will only treat adult patients, Dr. Byron Nordhus is proud to offer general, cosmetic, and restorative dentistry services to entire families. With expertise in areas like implant dentistry and orthodontics, you'll likely never have to go anywhere else for treatment. We have everything your family will need to maintain beautiful and healthy smiles right here.
Let our dentist put your entire family on the track to better oral and overall health. Request an appointment at our Wichita, KS, office today:
(316) 721-6730

Patients Love Our Wichita Dentist
This is the most genuinely caring and friendly dental office I have ever been to. The quality of the work done here surpasses anything I've experienced to date. I can't say enough good things about the positive experiences I have had here.
View on GoogleThey were really amazing! Very detailed, made sure to take a deep look at everything and they communicated very well! Were even able to take care of my fillings on same day as appointment, definitely recommend.
View on GoogleOur Mission
To improve the quality of life for our dental patients without the constraints dictated by dental insurance companies. We wish to serve patients who value our attention and our personal care for their dental health needs, fostering relationships for a lifetime.
Meet Dr. Nordhus

Transform the Health of Your Smile With Our Kansas Dentist
Our Featured Services
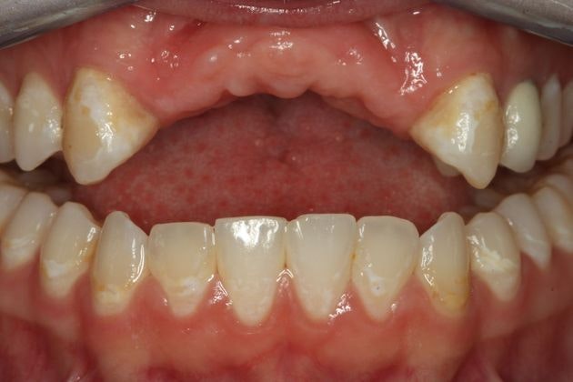
Dental Implants
After tooth loss, dental implants can replace tooth roots and support restorations to replace your missing teeth. Implants and restorations can improve your oral health by preventing jawbone atrophy and your overall health by allowing you to comfortably eat a nutritious diet. Our dentist can place and restore dental implants at our office in Wichita so you won't have to familiarize yourself with a specialist at another practice.
Restorations
Crowns can repair teeth after serious trauma or decay, bridges replace areas of tooth loss, and dentures can replace entire arches of teeth. These restorations are made from durable materials and are designed to look just like natural teeth. They can be supported by dental implants to restore all levels of tooth loss.
Cosmetic Dentistry
Our dentist can perform a wide range of cosmetic dentistry procedures to fine-tune the appearance of your smile. We offer solutions like veneers, teeth whitening, dental bonding, and Invisalign® so you can improve every aspect of your smile. We can even combine procedures in a smile makeover plan that addresses multiple cosmetic concerns.
Our Complete Services Available in Wichita, Kansas
- Bone Grafting
- Comprehensive Exams
- Dental Bonding
- Dental Bridges
- Dental Crowns
- Dental Implants
- Dentures
- Full Mouth Reconstruction
- Inlays & Onlays
- Invisalign
- Laser Gum Reshaping
- Mouthguards
- Pediatric Dentistry
- Periodontal Therapy
- Porcelain Veneers
- Root Canal Treatment
- Sedation Dentistry
- Smile Makeover
- Teeth Cleaning
- Teeth Whitening
- Temporomandibular Joint (TMJ) Disorder Treatment
- Tooth-Colored Fillings
- Tooth Extraction
Our Membership Program Is a Hit
I am so happy I found this place!!! I liked that they have options for non insured patients. With a monthly plan I can get cleaning’s done twice a year and discounts on filling’s. I would definitely recommend. Friendly staff!
View on GoogleI changed dentists because of our insurance change. Started going to Dr. Nordhus because my husband has been seeing him... Dr. Nordhus is very professional and all of his office staff are outstanding, in my opinion. My husband and I will be getting on their Patient Loyalty Program soon. Very happy with the care given at his office!
View on Google











